心脏棘球蚴病怎么治疗最好 心脏棘球蚴病可以通过手术切除、药物治疗、抗寄生虫治疗等方法进行治疗。如开胸手术、微创手术等。2.药物治疗常用药物包括阿苯达唑和甲苯咪唑,可口服给药... 2026-05-13 19:55:56
心脏寄生物的症状 心脏寄生物通常有呼吸困难和咳嗽等症状。心脏寄生虫的症状可引起阵发性夜间呼吸困难、咳嗽、坐着呼吸和咳嗽,并伴有粉红色泡沫痰。完全性心力衰竭后,会出现颈静脉扩张和胸腔积液等症状... 2026-05-13 19:55:55
心脏会不会有寄生虫 郝宝顺 副主任医师中山大学附属第三医院三甲擅长:擅长高血压,冠心病,心肌梗塞,心力衰竭,心肌病,心律失常,高脂血症等心内科疾病的诊断和治疗... 2026-05-13 19:55:55
文人Lily怒评《寄生虫》,直呼恶心 Lily是个文人,为了多慧也怒了。什么样的话能恶心得你莉连连发出好几声yue[捂嘴哭][捂嘴哭][捂嘴哭]*《寄生虫》原片已放在视频后面 含剧透内容介意不要看哟... 2026-05-13 18:06:48
吃生菜包烤肉后满身瘀斑,“元凶”竟是它 本文转自【国家应急广播】;近日,广东深圳一名6岁男童因全身遍布大片青斑、血肿,被家长紧急带到医院就诊。医院医学检验科经多次粪便富集检测,查到钩虫卵,并通过粪便培养检出钩虫幼虫,诊断男童患病为寄生虫感染引发的获得性嗜酸性粒细胞增多相关血小板功能障碍... 2026-05-13 16:31:09
养仓鼠人容易得什么病 养仓鼠需警惕健康风险,有过敏反应、寄生虫、细菌及病毒感染等潜在危害,保持卫生、及时防护非常重要,如遇不适及时就医。1、过敏反应动物毛发过敏:养仓鼠时可能会对仓鼠毛发、皮屑等过敏,过敏症状包括打喷嚏、流鼻涕、咳嗽、气喘、皮肤瘙痒、红肿等... 2026-05-13 15:59:25
专家称热水烫内裤难杀菌,手搓日晒更有效 #内裤不换到底能有多脏# 热水烫内裤这件事,很多时候细菌不买账,相当于给它们洗了个桑拿,该活着还是活着。手搓加流水,再挂到大太阳底下晒一晒,比啥都管用... 2026-05-13 14:00:15
专家称热水烫内裤无法杀菌,手搓日晒更有效 #内裤不换到底能有多脏# 热水烫内裤这件事,很多时候细菌不买账,相当于给它们洗了个桑拿,该活着还是活着。手搓加流水,再挂到大太阳底下晒一晒,比啥都管用... 2026-05-13 13:26:04
一盘鱼生让一家6人感染肝吸虫,医生提醒:寄生虫可在体内存活数十年 一盘鱼生让一家6人感染肝吸虫,医生提醒:寄生虫可在体内存活数十年 【 齐鲁晚报·齐鲁壹点旗下短视频产品 】... 2026-05-13 13:06:00
一口“鲜甜”放倒多人 医生:芥末、白酒杀不死寄生虫 广东河源一家8口聚餐食用淡水鱼生后,多人相继出现反复发烧、腹痛、恶心厌食等症状。在医生的追问下,终于揭开了谜底,罪魁祸首就是那顿看似“原生态”的淡水鱼生... 2026-05-13 07:29:19
【微荐读】远征药业崔彦召:2026规模化奶牛场春季寄生虫病防控 (来源:奶牛微看)3月15-16日,2026中国奶业发展高层论坛暨第九届中国奶业风云榜在石家庄圆满召开。2026规模化奶牛场春季寄生虫病防控崔彦召河北远征药业有限公司反刍部技术经理一、寄生虫及寄生虫病综述寄生虫病防治是规模化牧场重要管理内容... 2026-05-13 02:40:07
蛇蜕的皮为什么不能碰?蛇蜕的皮有什么危害吗?_率真果然好使 关于蛇蜕的皮,长久以来在民间流传着种种关于其不能碰触的说法。那么,这背后究竟隐藏着怎样的科学奥秘。蛇蜕皮,是蛇类生长过程中的一种自然现象,类似于人类的换肤... 2026-05-13 01:39:38
贵州发布预警!涉及贵阳→ 福寿螺每年有两次产卵和孵化高峰期,分别为4月至6月和8月至10月。为有效防范福寿螺扩散蔓延风险,保障粮食安全和生态安全,现将有关事项预警如下:据统计,一只福寿螺中含有寄生虫少的有3000条,多的达6000条... 2026-05-12 18:19:57
为何猪肉不能生吃? 猪肉不能生吃,主要是因为存在寄生虫和细菌感染风险、难以消化、可能含有毒素、影响营养吸收、口感不佳等。1. 寄生虫和细菌感染风险:生猪肉可能携带绦虫、旋毛虫、大肠杆菌、沙门氏菌等病原体... 2026-05-12 17:46:34
生猪肉能吃吗 生猪肉是不建议食用的,因为不容易消化,还可能存在寄生虫与细菌感染风险,反而对身体健康不利。为了保障食品安全和健康饮食,应将猪肉烹饪至熟透后再食用... 2026-05-12 17:46:33
贵州发布预警!外来入侵物种(福寿螺)有扩散风险! 福寿螺每年有两次产卵和孵化高峰期,分别为4月至6月和8月至10月。为有效防范福寿螺扩散蔓延风险,保障粮食安全和生态安全,现将有关事项预警如下:据统计,一只福寿螺中含有寄生虫少的有3000条,多的达6000条... 2026-05-12 17:05:26
《不可生食的食物大排查》 猪、羊、牛肉最好不要生食原因:易感染寄生虫病菜品:酸辣生牛肉,冰镇羊肉片,椒盐羊羔肉,三分猪扒为追求鲜脆嫩滑的口感,很多人喜欢生吃猪肉、羊肉、牛肉... 2026-05-12 14:07:22
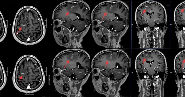
脑袋里“挖”出8厘米活虫!这个“土方子”害人不浅,很多人还在用! 最终医生在影像中发现关键线索:病灶会“移动”,还留下了“隧道”痕迹——这是虫子在脑里爬行的罪证。开颅手术后医生成功捕获一条8厘米长的活虫:裂头蚴被称为会“打隧道”的寄生虫图源:百度百科图中长得很像金针菇的虫子就是裂头蚴是曼氏迭宫绦虫的幼虫阶段裂头蚴是怎样生存的... 2026-05-12 13:22:00
蚌壳异物刺激分泌珍珠质形成珍珠 为什么蚌壳里能长出珍珠。当贝类动物进食时,它们就会张开贝壳,这时如果有沙粒、小石头或寄生虫等异物凑巧进去了,贝类动物就会因受到刺激而关闭贝壳... 2026-05-12 12:56:58
别吃!别碰!寄生虫多达6000条!这种生物近期大量出现 它们不仅繁殖惊人,代谢产物还会导致水质恶化,降低水体透明度和溶解氧,威胁其他水生生物的生存。寄生虫病的中间宿主... 2026-05-12 11:04:55
警惕!已入侵遵义,有扩散风险! 贵州省农业生态与资源保护站发布外来入侵物种(福寿螺)扩散风险预警遵义多地被纳入重大、新发入侵区域↓↓↓外来入侵物种(福寿螺)扩散风险预警福寿螺(Pomacea... 2026-05-12 08:13:00
刘雨辰澳门行更新,贾一凡吃生鱼片引热议 刘雨辰更新澳门行,不过雅琼居然吃生鱼片和鱼生。可能之前网友真的猜错了,她没有怀孕,这俩有寄生虫,怀孕不能吃。#中国羽毛球队[超话]#... 2026-05-12 06:50:56
宠物狗进泳池需体检、出示犬证并注射疫苗 我发现我们的宠物狗真比熊猫过得好。宠物狗大多都会讲究干净卫生,进这样的狗游泳池必须体检,检查是否有寄生虫,跳蚤,蜱虫等,出示犬证,检查是否定期注射疫苗... 2026-05-11 22:23:37
男子生食猪肉致双耳失聪,专家警示多重寄生虫风险 #男子吃生猪肉后双耳全聋# 生猪肉绝非简单肠胃不适那么简单。里面暗藏猪链球菌、猪肉绦虫、旋毛虫等多重危险。⚠️ 感染猪链球菌⚠️ 滋生多种寄生虫⚠️ 急性食物中毒猪肉必须彻底高温煮熟煮透拒绝生食、拒吃半生不熟猪肉... 2026-05-11 20:07:23
6岁男童吃生菜包烤肉后,满身青斑血肿!病因查明了 最近,深圳一家医院接收了一名患病的6岁男童,孩子的四肢、躯干布满大小不一的青紫色瘀斑,部分部位还形成了明显的血肿,轻轻触碰就会让孩子感到疼痛... 2026-05-11 20:05:00
男子生食猪肉致双耳失聪,医生提醒勿食生肉 #男子吃生猪肉后双耳全聋#现在食品安全状况还敢吃生肉 真不拿自己的身体当回事 生猪肉有很多寄生虫 还是尽量煮熟了吃吧... 2026-05-11 19:58:47
6岁男童吃生菜包烤肉全身青斑血肿 【#6岁男童吃生菜包烤肉全身青斑血肿#】近日,深圳一6岁男童吃生菜包烤肉后全身大片青斑血肿,经检查发现血小板凝血功能异常,最终确诊为钩虫寄生虫感染... 2026-05-11 17:59:15
守宫体检4项关键指南发布 #蜥蜴[超话]#守宫体检,看这篇就够了。给“小祖宗”定期体检,这4项是关键1️⃣ 查体态:有无消瘦/腹胀/缺钙。2️⃣ 看口鼻:有无黏液红肿(防肺炎/口炎)... 2026-05-11 17:44:09
生吃生蚝感染寄生虫的几率 目前生吃生蚝感染寄生虫的概率并没有明确的数据,因此无法一概而论。生蚝含有矿物质,蛋白质,氨基酸等营养成分,可以辅助起到增强体质、增进食欲等功效... 2026-05-11 17:06:39
黄焖鸡里面有一根细细短短的白色线条状的东西 病情分析:你好,这个情况下我们无法明确你吃的东西是不是寄生虫。不过你也不用过于担心,这类食品鸡肉都是高温加热过的,即使有寄生虫也杀死了... 2026-05-11 16:24:27
儿童误食地面物品导致肠道寄生虫感染该如何处理 儿童误食地面物品导致肠道寄生虫感染,处理方法包括以下几方面:1. 就医检查:带孩子到医院就诊,进行相关检查,如粪便常规、粪便涂片找虫卵等,以明确寄生虫的种类和感染的严重程度... 2026-05-11 15:20:35
误食寄生虫会造成何种后果 误食寄生虫可能引发胃肠炎、营养不良、器官损伤甚至危及生命,具体后果与寄生虫种类、感染数量及人体免疫力密切相关。可遵医嘱使用阿苯达唑、甲苯咪唑或左旋咪唑等驱虫药物控制感染... 2026-05-11 14:12:29
小孩肚子有虫怎么办 小孩肚子有虫可通过服用驱虫药物、调整饮食、改善卫生习惯、观察症状变化、定期复查等方式治疗。1、服用驱虫药物阿苯达唑颗粒、甲苯咪唑咀嚼片、磷酸哌嗪宝塔糖等驱虫药物可用于治疗蛔虫、蛲虫等肠道寄生虫感染... 2026-05-11 14:12:27
《“十年鸡头胜砒霜”,真有那么毒?》 既然“十年鸡头胜砒霜”都是子虚乌有,那是不是就可以放心大吃鸡头呢。首先,鸡头可能存在诸如裂头蚴等寄生虫。其次,从营养学的角度,鸡头主要是鸡皮、鸡脑及鸡冠等组织,其中胆固醇比例相较于普通鸡肉要高出许多... 2026-05-11 13:59:43
6岁男童全身出现大片青斑、血肿,竟是因为吃了生菜包烤肉,医生提醒_寄生虫_孩子_血小板 据悉,6岁男童小明(化名)因全身遍布大片青斑、血肿,被家长紧急带到医院就诊。医院儿科主任薛红漫仔细查看患儿症状及化验单,不禁倒吸了一口气,孩子的血红蛋白、血小板处于正常水平,嗜酸粒细胞却明显升高... 2026-05-11 13:33:42
生吃生蚝后可能出现哪些寄生虫感染症状 生吃生蚝可能会导致人体感染多种寄生虫,具体症状与寄生虫的种类有关,主要包括以下几种情况:1. 感染肝吸虫:生蚝是多种寄生虫的中间宿主,其中最常见的是肝吸虫... 2026-05-11 13:33:06
吃生蚝感染寄生虫反应 - 专家文章 吃生蚝感染寄生虫后可能出现腹痛、腹泻、发热等症状,严重时可导致过敏性休克或器官损伤。生蚝可能携带的寄生虫主要有异尖线虫、广州管圆线虫等,感染后症状轻重与寄生虫种类、感染量及个体免疫力有关... 2026-05-11 13:33:05
吃了生蚝怕感染寄生虫怎么补救-专家文章 食用生蚝后担心寄生虫感染可通过催吐、就医检查、药物驱虫等方式补救。生蚝可能携带副溶血性弧菌、诺如病毒、肝吸虫等病原体,若出现腹痛、腹泻、发热等症状需及时干预... 2026-05-11 13:33:05
生蚝寄生虫真的很严重吗 - 专家文章 生蚝寄生虫感染风险与食用方式和处理措施密切相关,规范烹饪后通常不会引起严重问题。生蚝可能携带的寄生虫主要有隐孢子虫、诺如病毒、副溶血性弧菌等,感染风险主要取决于生蚝来源水域的卫生状况、运输储存条件以及食用前的处理方式... 2026-05-11 13:33:04
吃了生蚝怕感染寄生虫怎么补救-科普问答-民福康 如果吃了生蚝担心感染寄生虫,可以采取以下措施进行补救:1.就医检查:及时就医,向医生详细描述食用生蚝的情况,包括生蚝的来源、食用的数量和时间等... 2026-05-11 13:33:04
罗泓轸新作《希望》释出片段,黄政民赵寅成等主演戛纳入围 罗泓轸新作《希望》释出首支片段。入围今年戛纳主竞赛单元,即将首映。本片时长160分钟,演员阵容:黄政民、赵寅成、郑浩妍、艾丽西亚·维坎德、迈克尔·法斯宾德、泰勒·拉塞尔、卡梅隆·布莱顿... 2026-05-11 08:18:57
梭子蟹密密麻麻粉色小虫能吃吗? 近日,浙江网友小沈(化名)去菜场买了四只梭子蟹,没想到回家一洗“天塌了”,四只梭子蟹里面居然有三只都布满了粉色小颗粒,看起来像是寄生虫卵... 2026-05-11 07:20:29
小孩食用熟生蚝后是否需要服用驱虫药 生蚝可能携带寄生虫和细菌。小孩食用熟生蚝后是否需要服用驱虫药,不能一概而论。1. 烹饪得当:如果生蚝在烹饪过程中熟透,高温杀死了可能存在的寄生虫和虫卵,孩子身体也没有异常症状,通常不需要服用驱虫药... 2026-05-11 02:41:02
吃生蚝,寄生虫会上脑吗 食用生蚝确实存在寄生虫侵入大脑的风险,但需要满足特定条件。主要威胁来自生蚝携带的广州管圆线虫幼虫,若未经充分加热处理,虫体可经消化道入侵神经系统,最终抵达脑部... 2026-05-11 02:39:03
吃了生蚝怕感染寄生虫怎么补救 - 专家文章 食用生蚝后担心寄生虫感染可通过催吐、就医检查、药物驱虫等方式补救。生蚝可能携带副溶血性弧菌、诺如病毒、肝吸虫等病原体,若出现腹痛、腹泻、发热等症状需及时干预... 2026-05-11 02:39:02
女子养鹦鹉二十天 眼部感染寄生虫 养鸟热潮下如何预防人畜共患病。网友“喵星人”购买的鹦鹉。她称,养鹦鹉20天后,眼部感染微孢子虫,因该眼病较为隐蔽,辗转3家医院才最终确诊... 2026-05-11 01:48:33
小孩要如何使用驱虫药-科普问答-民福康 一、明确驱虫药适用指征及寄生虫类型判断1.1临床指征:儿童出现不明原因腹痛(尤其是脐周)、食欲减退、体重增长缓慢、夜间磨牙、肛周瘙痒或粪便中可见白色节片(绦虫)时,需考虑肠道寄生虫感染可能... 2026-05-11 01:27:29
小孩摄入寄生虫应如何处理 如果小孩摄入寄生虫,可以采取以下措施:1. 观察症状:如果小孩出现任何不适症状,如腹痛、腹泻、呕吐等,应及时就医。3. 饮食调节:在治疗期间,小孩应注意饮食卫生,避免食用生食或未煮熟的食物... 2026-05-11 01:27:27
孩子食用含有寄生虫的食物有何危害 孩子食用含有寄生虫的食物可能会带来多种危害。寄生虫在肠道内寄生和繁殖,会影响肠道的正常功能,引起腹痛、腹泻、恶心、呕吐等症状,严重时还可能导致营养不良和生长发育迟缓... 2026-05-11 01:27:26
生菜的寄生虫会损害大脑吗 蛔虫、钩虫等土壤传播虫卵1.生菜种植过程中可能接触被污染的土壤或水源,携带蛔虫、钩虫等寄生虫卵。若未经清洗直接生食,虫卵可能进入人体肠道发育为成虫,引发腹痛、腹泻等症状,但不会直接侵入大脑... 2026-05-11 00:55:21
吃完饭店就会拉肚子的原因是什么 - 民福康 一、食物因素(一)食物不洁1.细菌污染:饭店的食物若在加工、储存或售卖过程中被细菌污染,如常见的大肠杆菌、沙门氏菌等。这些细菌会在食物中繁殖,人食用后,细菌及其产生的毒素会刺激肠道黏膜,引起肠道炎症反应,导致拉肚子... 2026-05-10 23:08:18
吃小龙虾不踩雷!先破5大谣言,再get健康秘诀 又是一年『吃虾季』吃货们蠢蠢欲动但关于小龙虾的谣言也让一些人犹豫了到底能不能放心吃。有重金属和『重金属超标』是两码事。小龙虾的重金属主要聚集在外壳和头部,规范化养殖,保持水源质量,就能确保虾肉的安全性... 2026-05-10 17:09:26
生菜可以生吃吗,有寄生虫吗 生菜是一种常见的绿叶蔬菜,营养价值丰富,含有维生素、矿物质以及膳食纤维等多种对人体有益的营养素,可能会有寄生虫。在饮食习惯上,生菜常被用于生吃,如制作沙拉等,但在食用前需要进行彻底的清洗和处理,以降低寄生虫感染的风险... 2026-05-10 17:05:12
脑虫病是怎么形成的 脑虫病是指寄生虫的虫体、幼虫或虫卵侵入人体脑组织,引起的占位或炎性的肉芽肿,造成脑组织机械性损伤及免疫病理反应,引起过敏炎症、肉芽肿形成、脑血管或脑脊液循环阻塞的脑病... 2026-05-10 17:05:11
生菜生吃会有寄生虫吗 通常情况下,生菜生吃会有可能会感染寄生虫的,如果清洗干净再生吃,感染寄生虫的可能性就比较小。生菜生长在地面的时候,叶子与泥土的地面比较近,所以在施肥的时候,就有寄生虫附着在叶子上的可能,如果食用了没有清洗干净的生菜,可能会将虫卵吃到腹中,从而会感染寄生虫... 2026-05-10 17:05:11
深圳6岁男童吃生菜包烤肉后,全身出现大片青斑、血肿,体内检出寄生虫虫卵 很多人认为,新鲜生菜生吃更健康、更营养,殊不知看似干净的生菜叶片缝隙中,可能暗藏肉眼看不见的寄生虫,随意生吃极易引发感染,尤其是对免疫力较弱的儿童风险更高... 2026-05-10 17:01:24
健康科普|生吃生菜真的会感染寄生虫吗?这种说法过分夸大,今天就来聊聊关于生吃生菜的问题 说句不中听的——别动不动就把“寄生虫”挂嘴上,搞得一吃生菜就像是进了毒窝,真有那么吓人。那老外年年生吃沙拉怎么还活得比我们长... 2026-05-10 17:00:03
生菜能生吃吗,有寄生虫吗 生菜一般能生吃,其中可能会有寄生虫,因此在吃生菜之前需要清洗干净,避免不良情况的发生。平时也需要注意饮食卫生,在吃任何蔬菜之前都需要清洗... 2026-05-10 17:00:02
别吃!别碰!寄生虫多达6000条,近期正大量出现,严重可致死 它们不仅繁殖惊人,代谢产物还会导致水质恶化,降低水体透明度和溶解氧,威胁其他水生生物的生存。寄生虫病的中间宿主... 2026-05-10 15:07:00
这,才是岳阳小龙虾的正确打开方式! - 岳阳 - 新湖南 夏天的岳阳晚上10点的炮台山、美食街有一座座“小龙虾山”大家口头禅从“恰饭冒”变成了“走,克嗦虾克”但有一个魔幻现象:昨晚一起嗦虾的人今天总有几个在朋友圈喊“痛风犯了”“拉虚脱了”“半夜挂急诊了”... 2026-05-10 13:28:01
《生吃蔬菜,营养、健康难兼得》 蔬菜中所含的寄生虫主要是指蛔虫、钩虫、鞭虫等土源性线虫, 其主要来源是寄生虫患者或感染者的粪便。这些线虫能在土壤中发育成熟, 其幼虫或虫卵可附在蔬菜当中... 2026-05-10 13:21:17
《烹饪营养与卫生》 吃生畜肉可能使人体感染的寄生虫有旋毛虫、猪囊虫、弓形虫等。吃蔬菜可能感染人体的寄生虫有蛔虫 (虫卵感染)、人体囊虫 (虫卵感染)、十二指肠钩虫 (幼虫感染), 其中以蛔虫卵的感染较为多见... 2026-05-10 13:20:21
《这六类食物容易有寄生虫,最后一类少有人知道》 很多人都喜欢吃生腌水产品, 如醉虾、醉蟹,还喜欢吃一些水生植物, 如荸荠、菱角、茭白、莲藕、水芹菜等。这些食物虽然好吃, 但如果吃不对可能会感染寄生虫... 2026-05-10 13:20:20
《食源性寄生虫病诊治专家共识(2023)》 4.2 神经系统 食源性寄生虫可侵犯脑实质、脑膜、脊髓引起相应病变[15,22],出现头痛、发热、恶心、呕吐、癫痫、谵妄、昏迷和占位压迫症状等... 2026-05-10 12:44:26
深圳6岁男童吃生菜包烤肉感染寄生虫 【#深圳6岁男童吃生菜包烤肉感染寄生虫#】#6岁男孩吃生菜包肉全身长满青斑血肿#日前,6岁男童小明(化名)因全身遍布大片青斑、血肿,被家长紧急带到深圳中山七院儿科门诊就诊... 2026-05-10 11:57:31
养鹦鹉一个多月后,女子眼睛发红发痒,一查竟是感染眼部寄生虫 极目新闻记者 廖仕祺通讯员 敖盼盼 胡家炜不少人喜欢养鹦鹉作伴,亲密互动之余,却可能暗藏眼部健康风险。前不久,武汉爱尔眼科汉口医院就接连收治了两名患者,均因饲养鹦鹉感染微孢子虫,引发角膜炎,还一度出现视力受损... 2026-05-10 09:37:22
养宠物小心感染眼部寄生虫 随着人们生活水平的提高,饲养宠物的爱好者越来越多,加之人们防范意识低,使眼部由于养宠物感染寄生虫的机率大大增加。本期《求证》我们邀请眼科专家郑炜为大家进行解答... 2026-05-10 09:25:04
养鹦鹉的必修课:读懂它的异常信号,远离寄生虫威胁 不少饲养者存在一个误区:认为 “鹦鹉不出门就不用驱虫”。实则不然,寄生虫可能通过污染的食物、垫材,甚至人类衣物携带的虫卵传入鸟笼或饲养环境,悄然威胁鹦鹉健康... 2026-05-10 09:25:03
有寄生虫会颅内感染吗 有寄生虫可能引起颅内感染,但并非所有情况都会发生。多数情况下,寄生虫主要寄生在肠道、肝脏或肺部等部位,如蛔虫、钩虫等,它们通常不会突破血脑屏障进入中枢神经系统,患者仅表现为腹痛、消化不良或贫血等消化道及全身症状,此时并无颅内感染风险... 2026-05-10 09:05:52
吃了含有寄生虫的食物会导致颅内感染吗 二、常见可致颅内感染的寄生虫种类及感染途径1.广州管圆线虫:主要通过食用生的或未熟透的受感染的淡水螺类、鱼类等食物而感染... 2026-05-10 09:05:52
食用生鲜会否导致寄生虫进入大脑 食用未煮熟或生的某些生鲜可能携带可致寄生虫进入大脑的种类,如广州管圆线虫,其幼虫可经消化道进血液循环迁移至大脑引发疾病,儿童因免疫系统不完善等更易感染,... 2026-05-10 09:04:08
锦鲤鱼从鱼缸跳出来是什么原因 锦鲤鱼从鱼缸跳出来的原因可能涉及多个方面,以下是一些主要的原因分析:1。水质问题:锦鲤对水质的要求较高,如果水质长期处于恶劣状态,如浑浊、有异味,或者水中的氨氮、亚硝酸盐等有害物质超标,锦鲤可能会试图通过跳缸来逃离这种环境... 2026-05-10 05:50:06
翻车鱼佛系生活:随波逐流晒太阳,温顺食水母 它们的生活方式非常佛系,常年在热带和温带海域随波逐流,很少主动快速游动。白天常常侧躺在海面晒太阳,一边取暖一边让海鸟帮忙清理寄生虫,这也是“翻车鱼”名字的由来... 2026-05-10 02:04:00
6岁男童生食未洗净生菜感染寄生虫引血肿 #6岁男童吃生菜后血肿感染寄生虫#重点不是生菜本身,而是没洗干净+生吃的问题。大人抵抗力强还好,小朋友真的别瞎吃生的,一定要注意卫生啊... 2026-05-10 00:06:28
因爱吃生鱼片,28岁男子体内查出寄生虫 极目新闻记者 曹洋通讯员 周珊年轻男子酷爱吃生鱼片、蛇肉、牛蛙,饲养蜥蜴作为宠物,没想寄生虫悄然入体,一朝发作满身红斑,肌肉游走性疼痛... 2026-05-09 23:48:09
6岁男童食生菜感染钩虫致全身血肿 #6岁男童吃生菜后血肿感染寄生虫#深圳一名6岁男童因食用餐厅生菜包烤肉后全身突发大片青斑和血肿,经医院检查确诊为钩虫感染引发的罕见血液异常,引发公众对生食蔬菜安全性的广泛关注... 2026-05-09 23:01:11
广东6岁男童吃生菜包烤肉后,全身出现大片青斑、血肿.......紧急提醒→ 很多人认为,新鲜生菜生吃更健康、更营养,殊不知看似干净的生菜叶片缝隙中,可能暗藏肉眼看不见的寄生虫,随意生吃极易引发感染,尤其是对免疫力较弱的儿童风险更高... 2026-05-09 21:16:03
女子养鹦鹉20天感染寄生虫,辗转3家医院才确诊!专家:定期驱虫,避免过度亲密接触 封面新闻记者 曹菲近两年,鹦鹉逐渐成为一些人的新宠。人们“手养鹦鹉”的时候,经常把它们放在手掌、肩上,甚至会亲吻,殊不知这些过度亲密接触,也给疾病传播提供了可乘之机... 2026-05-09 20:24:00
6岁男童生吃生菜感染寄生虫致全身血肿 #6岁男童吃生菜后血肿感染寄生虫##6岁男童生吃生菜感染寄生虫# 男童满身青斑和血肿感染寄生虫,原因竟是一顿生菜包烤肉,医生:绿叶蔬菜尽量焯水炒熟后再吃... 2026-05-09 20:14:48
生菜生吃安全吗,专家称正规选购清洗可放心 生菜切勿生吃,容易滋生寄生虫危害健康的说法,这番言论广泛传播,使得很多喜爱生食生菜、制作轻食沙拉的人满心顾虑,再也不敢随意食用... 2026-05-09 18:40:57
6岁男童生吃生菜感染钩虫致全身血肿 生吃生菜险酿大祸。此次男童感染的钩虫,是常见的土源性寄生虫,虫卵可附着在未洗净、未煮熟的蔬菜表面,通过口腔黏膜侵入人体,在儿童体内寄生繁殖... 2026-05-09 18:38:24
能生吃的生菜,看起来最干净,其实另有隐患? 能生吃的生菜,看起来最干净,其实另有隐患。#6岁男童吃生菜后血肿感染寄生虫##专业视频创作季##一分钟精选视频扶持计划#... 2026-05-09 18:33:12
6岁男童生吃生菜感染钩虫引关注 #6岁男童吃生菜后血肿感染寄生虫#关于这个案例:1、小朋友感染了钩虫,监护人 认为是吃生菜导致的。2、建议把蔬菜加热之后再吃,是避免寄生虫和细菌感染的高效手段... 2026-05-09 18:19:56
6岁男童吃生菜包烤肉后,全身出现大片青斑、血肿,体内检出寄生虫虫卵,医生看到化验单后倒吸了一口气.......紧急提醒→ 很多人认为,新鲜生菜生吃更健康、更营养,殊不知看似干净的生菜叶片缝隙中,可能暗藏肉眼看不见的寄生虫,随意生吃极易引发感染,尤其是对免疫力较弱的儿童风险更高... 2026-05-09 18:16:00
这五种蔬菜别生吃,小心感染寄生虫!特别提醒南方的小伙伴! 这五种蔬菜别生吃,小心感染寄生虫。特别提醒南方的小伙伴。(央视)#6岁男童吃生菜后血肿感染寄生虫##女子打水光针后吃小龙虾满脸肉芽肿##有洁癖的人洗小龙虾#... 2026-05-09 18:15:11
紧急提醒小龙虾的虾头别吸了!含大量重金属 来源:@21世纪经济报道微博#小龙虾虾头是重金属寄生虫重灾区#【紧急提醒小龙虾的虾头别吸了。含大量重金属】(广州广播电视台)#6岁男童吃生菜后血肿感染寄生虫##有洁癖的人洗小龙虾# ... 2026-05-09 17:56:56
别吃!寄生虫多达6000条,近期正大量出现,严重可致死 福寿螺也进入了繁殖旺季。随着天气转暖,不少市民在河边散步时会发现芦苇秆、石块上又出现了成片的粉红色卵块,这些看似鲜艳的“粉色疙瘩”,就是被列入全球100种恶性外来入侵物种之一的福寿螺正在繁殖... 2026-05-09 17:44:50
女子养鹦鹉20天眼部感染寄生虫 养鸟热潮下如何预防人畜共患病?丨封面深镜 封面新闻记者 曹菲近两年,鹦鹉逐渐成为一些人的新宠。5月7日,来自武汉的网友“喵星人”将自己因养鹦鹉感染疾病的经历发在网上,引发关注... 2026-05-09 17:32:33
6岁男童生食生菜感染寄生虫致血肿 #6岁男童吃生菜后血肿感染寄生虫# 很多人都觉得生吃蔬菜更健康、更有营养,却忽略了看似干净的生菜,藏着肉眼看不见的寄生虫卵... 2026-05-09 17:30:31
8种易藏寄生虫食物曝光,6岁男童生菜感染引警惕 【#很容易藏寄生虫的8种食物#】#6岁男童吃生菜后血肿感染寄生虫#上海海洋大学食品学院教授陈舜胜表示,不同寄生虫偏爱的食物不一样,常见的有以下几类... 2026-05-09 17:24:22
6岁男童生食生菜感染钩虫致血小板异常 #6岁男童吃生菜后血肿感染寄生虫#深圳一名6岁男童全身出现青斑和血肿,家长一度担心是白血病。经检查,孩子血小板数量正常但功能异常,嗜酸粒细胞比例飙升至46.2%... 2026-05-09 17:20:44
6岁男童食用生菜感染寄生虫引关注 #6岁男童吃生菜后血肿感染寄生虫#完了,我经常吃生菜,特别是吃烤肉的时候,看到这个热搜有点后怕呀,有没有一样的朋友[捂嘴哭]... 2026-05-09 16:45:22
这6种寄生虫超多的食物,你可能天天都在吃,视频来源:胸外科刘垚医生 #6岁男童吃生菜后血肿感染寄生虫#这6种寄生虫超多的食物,你可能天天都在吃。视频来源:胸外科刘垚医生... 2026-05-09 16:17:29
6岁男童餐厅吃生菜后感染寄生虫 医生:蔬菜尽量做熟食用 经深圳市中山大学附属第七医院检查,孩子血小板功能异常,嗜酸粒细胞显著升高,最终在粪便中检出钩虫卵及幼虫,确诊为寄生虫感染引起的血小板功能障碍... 2026-05-09 15:41:13
别吃!别吃!寄生虫多达6000条,近期正大量出现,严重可致死 它们不仅繁殖惊人,代谢产物还会导致水质恶化,降低水体透明度和溶解氧,威胁其他水生生物的生存。寄生虫病的中间宿主... 2026-05-09 15:00:47
6岁男孩吃生菜包肉全身长满青斑血肿 ,医生提醒! 【#6岁男孩吃生菜包肉全身长满青斑血肿# ,医生提醒。6岁男童小明(化名)因全身遍布大片青斑、血肿,被家长紧急带到中山七院儿科门诊就诊... 2026-05-09 14:57:00
黔灵山小猴子颤抖帮游客清理苍耳 #小猴子克服恐惧帮游客处理异物#贵州黔灵山一只小猴子颤抖着帮游客拔除粘在衣袖上的苍耳,明明满眼恐惧却坚持完成清理的动作,被网友盛赞“医者仁心”... 2026-05-09 09:19:56
泰国长尾猕猴群居习性揭秘,潜水30秒觅食 泰国长尾猕猴是高度社会化的群居动物,群体规模通常10-50只,由优势雄性统领,群体内等级森严。其行动敏捷,擅长攀爬跳跃,且水性极佳,能潜水30秒在水下觅食,是猕猴属中少见的游泳高手... 2026-05-09 01:25:00
锦龟昼行水生习性揭秘:喜清澈水域杂食性随生长调整 锦龟是典型的昼行性水生龟类,习性温和且适应性极强,常年栖息在湖泊、池塘、缓流溪流等淡水水域,尤其偏爱水质清澈、水底多淤泥、岸边有植被的环境... 2026-05-09 00:43:00
女童小区玩耍后确诊严重脑炎 主治医生介绍,该患儿的感染来源是南方常见的非洲大蜗牛,这种物种是携带致命寄生虫的“隐形杀手”,家长需高度警惕。医院神经内科医生罗序峰介绍,该患儿去年9月首次出现高烧、呕吐等症状,起初在附近医院被诊断为脑炎,常规脑炎药物治疗后症状始终没有改善,病情持续加重,随后转诊至深圳市儿院... 2026-05-09 00:00:00
南方非洲大蜗牛进入活跃期 #接触非洲大蜗牛或有致命风险#【#南方非洲大蜗牛进入活跃期#】非洲大蜗牛,2003年被列入第一批《中国外来入侵物种名单》,在我国广东、福建、广西、云南等地均有发现... 2026-05-08 20:20:35
《医学微生物学与寄生虫学》 啮齿类动物如黑线姬鼠、田鼠和家鼠等可天然携带汉坦病毒,其传播是通过这些动物的尿液、粪便和唾液等排出物污染环境,然后经呼吸道、消化道和接触等途径感染人... 2026-05-08 17:09:05
千万别碰!它携带大量寄生虫!近期多地出现 大雨过后,社交媒体上有南京网友发帖,发现马路或者公园的草丛边出现了一群大蜗牛。非洲大蜗牛,学名叫褐云玛瑙螺,属于外来入侵物种... 2026-05-08 14:46:56
瓦螨侵袭蜂群吸血传播病毒威胁蜜蜂生存 瓦螨是蜜蜂的最大敌人(除了人类之外~)这种微小但毁灭性的寄生虫侵入蜂箱,附着在蜜蜂身上(尤其是幼蜂),通过吸食它们的血液并传播病毒来削弱整个蜂群... 2026-05-08 12:12:01
千万别碰!非洲大蜗牛携带寄生虫,小心致命脑炎! ️ 你是否曾在大雨后,看到马路或公园的草丛中出现了一群大蜗牛。非洲大蜗牛,学名褐云玛瑙螺,属于外来入侵物种。它们的黏液和粪便中,通常携带多种寄生虫和病原菌,尤其是广州管圆线虫... 2026-05-08 11:41:20
这种“粉色葡萄”,德清人千万别碰! 最近德清气温攀升一串串粉红色的“葡萄”又冒出来了近日,有网友向小编爆料,这段时间在城东千亩港绿道边的植物上,发现了好几处外来入侵物种福寿螺的卵块... 2026-05-08 11:38:23
别碰!携带大量寄生虫,江苏近期已出现! 雨后,社交媒体上有江苏网友发帖,发现马路或者公园的草丛边出现了一群大蜗牛。什么是非洲大蜗牛如何区分它和中国本土蜗牛。它们的黏液或粪便里,通常携带了寄生虫和病原菌,特别是广州管圆线虫,用手触摸,或会引起皮炎、皮肤瘙痒、肿胀等... 2026-05-07 21:45:00
幼儿摸非洲大蜗牛患上严重脑炎 【#幼儿摸非洲大蜗牛患上严重脑炎#】#不是所有蜗牛都能摸#近日,广东深圳一幼儿因接触到小区的非洲大蜗牛,患上严重脑炎,引发广泛关注... 2026-05-07 21:33:50
数十秒就能穿透皮肤!男子非洲务工回国体检发现寄生虫 #男子非洲务工回国体检发现寄生虫#】近日,福建福州。44岁的林先生从非洲乌干达回国,体检时意外发现嗜酸性粒细胞高于正常值。医生询问得知,林先生在乌干达从事海鲜养殖,日常生活中频繁接触当地湖泊、河流,经医生团队深入排查,最终确诊为感染“曼氏血吸虫”... 2026-05-07 20:34:00
误食非洲大蜗牛严重可致脑膜炎 #这种大蜗牛携带上百条寄生虫#【#误食非洲大蜗牛严重可致脑膜炎#】南方雨后要警惕非洲大蜗牛,可能出现在广东、福建等地的绿化带,甚至家里... 2026-05-07 16:55:00
女童摸一下就得了脑炎,在南方看到这种大蜗牛可别碰!它来自非洲 我国南方地区每年的大部分时间中都暖湿多雨,在河道池塘,沼泽湿地附近,乃至在一些潮湿的地方都经常会出现蜗牛或田螺之类的生物,如果没有必要的话,尽量少接触这类东西... 2026-05-07 15:33:58
千万别碰!携带大量寄生虫 下雨过后,如果你在马路或者公园的草丛边发现下图这样的大蜗牛,千万别碰。它们的黏液或粪便里,通常携带了寄生虫和病原菌,特别是广州管圆线虫,用手触摸可能会引起皮炎、皮肤瘙痒、肿胀等... 2026-05-07 10:11:00
蜗牛遭寄生虫控制变僵尸,行动迟缓失去自由意志 在幽暗的角落,一只蜗牛缓缓爬行,它的身体被一种神秘寄生虫控制,成为了一个活生生的“僵尸”。它的行动迟缓而僵硬,眼中失去了往日的光芒... 2026-05-07 08:48:19
深海俪虾与海绵共生,象征白头偕老 #一分钟精选视频扶持计划# 深海浪漫“情侣虾”✨俪虾是种体长仅1-2厘米的深海小虾,和“偕老同穴”玻璃海绵共生。幼时一雌一雄成对钻进海绵体内,长大后再也出不来,终生相守、生死同穴,因此得名... 2026-05-07 01:00:53
最近广东这种蜗牛又大量出现,千万别碰!一女童接触后确诊严重脑炎 最近广东的雨一场接一场大雨过后不少人会发现路上出现一种生物——大蜗牛更有不少人难掩好奇心直接上手拈来......紧急提醒:这种蜗牛单只身上就可能携带数百条寄生虫千万别碰... 2026-05-06 19:03:18
翻车鱼深海觅食习性揭秘,幼鱼生长快携40种寄生虫 翻车鱼别名海洋太阳鱼、月鱼,与河豚近亲。靠背鳍、臀鳍游动,常潜600米深海觅食,以水母等为食。幼鱼仅2.5毫米,生长极快,身上有近40种寄生虫,无攻击性,有时会接近潜水员... 2026-05-06 15:39:05
注意!千万别碰!携带大量寄生虫 大雨过后,不少细心的小伙伴发现马路或者公园的草丛边出现了一群大蜗牛。什么是非洲大蜗牛如何区分它和中国本土蜗牛。它们的黏液或粪便里,通常携带了寄生虫和病原菌,特别是广州管圆线虫,用手触摸,或会引起皮炎、皮肤瘙痒、肿胀等... 2026-05-06 08:25:00
别碰,携带大量寄生虫,江苏近期已出现 大雨过后,社交媒体上有江苏网友发帖,发现马路或者公园的草丛边出现了一群大蜗牛。近日,广东深圳市儿童医院一则与非洲大蜗牛相关的病例,引发广泛关注... 2026-05-05 20:13:00
千万别碰!广东1岁孩童小区玩耍后,确诊脑炎 最近广东的雨一场接一场大雨过后不少人会发现路上出现一种生物——大蜗牛更有不少人难掩好奇心直接上手拈来......紧急提醒:这种蜗牛单只身上就可能携带数百条寄生虫千万别碰... 2026-05-05 20:11:58
幼犬防疫:先驱虫再疫苗,科学顺序别搞错 01为什么“先驱虫”是铁律。在狗狗的生命早期,驱虫与疫苗同样重要,却必须分出先后。只要弄清楚“时间性”“安全性”“科学性”这三道关卡,就能明白为什么幼犬得先清虫再打针... 2026-05-05 15:12:00
鳟鱼是冒牌三文鱼?专家详解虹鳟鱼和三文鱼啥关系 来源:科技日报针对“青海虹鳟鱼是冒牌三文鱼”一说,专家详解——虹鳟鱼和三文鱼到底啥关系“青海虹鳟鱼是打着三文鱼旗号的冒牌货……”“淡水三文鱼是寄生虫高风险的虹鳟鱼,寄生虫超乎想象,不能生吃... 2026-05-05 09:37:32
田园犬啃草吃土实为生存本能,非懂中医药理 #狗勾用舌头给主人刮痧治病#田园犬自带“中医系统”。狗子真的会给自己治病吗很多人发现田园犬不舒服时,会主动啃青草、吃泥土,便觉得它们自带天然中医系统,其实这并非狗狗懂药理,而是刻在骨子里的生存本能... 2026-05-05 08:53:42
虹鳟鱼是冒牌三文鱼? “青海虹鳟鱼是打着三文鱼旗号的冒牌货……”“淡水三文鱼是寄生虫高风险的虹鳟鱼,寄生虫超乎想象,不能生吃。央视报道称:“青藏高原很早以前就开始养殖三文鱼,目前已经占据了国内三文鱼三分之一的市场... 2026-05-05 05:42:05
渔业协会发文释疑“国产三文鱼”:存寄生虫系误读 连日来,关于“国产三文鱼”的话题在网上走热。不少网友对虹鳟是否能被称为“国产三文鱼”提出质疑,并疑问淡水养殖的虹鳟中是否能生吃、是否存在寄生虫等问题... 2026-05-05 05:42:03
冒牌三文鱼? 专家详解虹鳟鱼和三文鱼啥关系 图为参展客商推出黄河养殖三文鱼供客商品鉴。中新社记者 罗云鹏 摄针对“青海虹鳟鱼是冒牌三文鱼”一说,专家详解――虹鳟鱼和三文鱼到底啥关系... 2026-05-05 05:42:03
潇湘晨报:虹鳟是否三文鱼团体标准说了不算 日前,中国水产流通与加工协会发布《生食三文鱼》团体标准,称虹鳟属于三文鱼。上海海洋大学教授陈舜胜接受澎湃新闻采访时表示,虹鳟不是三文鱼,生食虹鳟可能感染肝吸虫、肺吸虫等寄生虫,危害健康... 2026-05-05 05:42:03
非洲大蜗牛携带致命寄生虫,专家提醒勿碰勿养勿食 #这种蜗牛别养别碰#说的就是非洲大蜗牛(褐云玛瑙螺),南方雨后特别常见,千万别碰、别养、别吃。• 外壳:红棕色/浅咖啡色,带淡黄色斑点或雾状花纹... 2026-05-04 15:53:17
路上遇到这种蜗牛千万别碰,寄生虫多得数不清 前段时间,广东的暴雨一场接一场,大雨过后,不少细心的小伙伴发现,马路或者公园的草丛边出现了一群气定神闲的大蜗牛。这种蜗牛“杀伤力”极大,一只身上就有上百条寄生虫... 2026-05-04 15:48:52
小丑鱼与海葵共生:粘液护体、互惠互利 小丑鱼(海葵鱼)体表有特殊粘液,可与有毒海葵共生。它吃海葵未消化食物,粪便供海葵营养;海葵为其提供庇护,它还会清理海葵寄生虫... 2026-05-04 14:49:49
假期出游!水边这种小螺千万别碰,它背后的“瘟神”曾让千万人感染! 湖北钉螺 图源:浙江省疾控中心别不当回事,它正是那个曾让毛主席写下“借问瘟君欲何往,纸船明烛照天烧”的元凶。那是因为,它是血吸虫传播链中无法绕开的关键一环,能将一种隐蔽而危险的寄生虫病扩散至人群... 2026-05-04 13:15:00
三文鱼和虹鳟在生物学和寄生虫风险上有什么区别? 一、生物学本质区别物种与分类三文鱼(大西洋鲑,Salmo salar)是典型的洄游性海水鱼,成年后在深海生长,繁殖期返回淡水流域... 2026-05-04 12:51:58
1岁女童小区玩耍后,确诊严重脑炎!最近很多人见到,千万别碰 它们的黏液或粪便里,通常携带了寄生虫和病原菌,特别是广州管圆线虫。深圳市儿童医院神经内科医生罗序峰介绍,该患儿去年9月首次出现高烧、呕吐等症状,起初在附近医院被诊断为脑炎,常规脑炎药物治疗后症状始终没有改善,病情持续加重,随后转诊至深圳市儿童医院... 2026-05-04 12:26:00
小区玩耍后确诊严重脑炎!最近很多人见到,千万别碰 它们的黏液或粪便里通常携带寄生虫和病原菌,特别是广州管圆线虫,一只非洲大蜗牛身上,可能有上百条这种寄生虫。1岁女童确诊严重脑炎或因小区玩耍时碰到“大蜗牛”近日,深圳市儿童医院一则病例引发关注:一名1岁女童在小区玩耍后突发持续高烧,最终确诊为“广州管圆线虫病”引发的严重脑炎... 2026-05-04 10:58:00
超市里的三文鱼,到底能不能生食?判断方法在这→ 最近,“超市里售卖的三文鱼到底能不能生吃”的话题引发网友讨论。有人发现,某超市一款热销的三文鱼包装上有一行字——“加热后烹饪食用”,且该产品标注的执行标准为GB 2733,对寄生虫和微生物指标没有硬性限量规定要求... 2026-05-04 10:01:23
鱼生配芥末、醋、白酒能杀死寄生虫?|羊晚健康辟谣 近期,广东河源一家8口聚餐吃淡水鱼生,尽管蘸了芥末、醋,也喝了白酒,但随后有6人陆续出现反复发烧、腹痛、恶心厌食等症状,被确诊为肝吸虫感染... 2026-05-04 09:41:52
并非所有三文鱼都能生吃! 选购认准国家标准GB 10136 医生:吃深海海产小心感染异尖线虫 严重可致肠穿孔 #三文鱼包装需带有这几行字才能生食# 【并非所有三文鱼都能生吃。选购认准国家标准GB 10136 医生:吃深海海产小心感染异尖线虫 严重可致肠穿孔】#生吃未经处理三文鱼或致肠穿孔# 大家可能不知道,并不是所有叫“三文鱼”的鱼都能直接生吃... 2026-05-04 09:40:13
鱼生配芥末、醋、白酒能杀死寄生虫? 近期,广东河源一家8口聚餐吃淡水鱼生,尽管蘸了芥末、醋,也喝了白酒,但随后有6人陆续出现反复发烧、腹痛、恶心厌食等症状,被确诊为肝吸虫感染... 2026-05-04 07:00:00
1岁女童在小区玩耍后确诊严重脑炎,这种蜗牛别养别碰 它们的黏液或粪便里通常携带寄生虫和病原菌,特别是广州管圆线虫,一只非洲大蜗牛身上,可能有上百条这种寄生虫。1岁女童确诊严重脑炎或因小区玩耍时碰到“大蜗牛”近日,深圳市儿童医院一则病例引发关注:一名1岁女童在小区玩耍后突发持续高烧,最终确诊为“广州管圆线虫病”引发的严重脑炎... 2026-05-04 06:27:00
非洲大蜗牛作为入侵物种,对我国的生态环境造成了哪些具体危害? 一、生态系统的破坏性入侵生物多样性杀手非洲大蜗牛食性极杂,可危害500余种植物,从农作物、林木到花卉均难幸免。其入侵直接挤压本土物种生存空间,尤其在华南潮湿地区泛滥后,与本土蜗牛争夺食物与栖息地,导致部分本土软体动物种群衰退甚至局部灭绝... 2026-05-03 20:13:53
小区玩耍后确诊严重脑炎!这种蜗牛别养别碰 它们的黏液或粪便里通常携带寄生虫和病原菌,特别是广州管圆线虫,一只非洲大蜗牛身上,可能有上百条这种寄生虫。1岁女童确诊严重脑炎或因小区玩耍时碰到“大蜗牛”近日,深圳市儿童医院一则病例引发关注:一名1岁女童在小区玩耍后突发持续高烧,最终确诊为“广州管圆线虫病”引发的严重脑炎... 2026-05-03 18:42:37
1岁女童在小区玩耍后确诊严重脑炎 这种蜗牛别养别碰 马路、公园、小区的草丛边。它们的黏液或粪便里通常携带寄生虫和病原菌,特别是广州管圆线虫,一只非洲大蜗牛身上,可能有上百条这种寄生虫... 2026-05-03 17:51:00
长得像宽面一样的寄生虫,你见过吗? 长得像宽面一样的寄生虫,你见过吗。#专业视频创作季##微博超有用视频大赛##微博vlog大赛##微博二创视频创作季##一条vlog回顾4月##一分钟视频创作季##一分钟精选视频扶持计划##白鹿被孟子义说挂相#... 2026-05-03 17:25:45
1岁女童小区玩耍后,确诊严重脑炎!最近很多人见到,别碰! 它们的黏液或粪便里,通常携带了寄生虫和病原菌,特别是广州管圆线虫。深圳市儿童医院神经内科医生罗序峰介绍,该患儿去年9月首次出现高烧、呕吐等症状,起初在附近医院被诊断为脑炎,常规脑炎药物治疗后症状始终没有改善,病情持续加重,随后转诊至深圳市儿童医院... 2026-05-03 14:06:00